Пациентку долгое время беспокоила боль в пятке при ходьбе. После сеанса иглоножа боль ушла полностью. Остался лишь небольшой дискомфорт, который появлялся только в неестественном положении стопы — например, если вывернуть пятку в сторону и опереться на неё.
Через 2 недели она приехала на второй сеанс, на котором мы убрали и этот дискомфорт. Больше никакой боли и ощущения шипа в пятке!
Почему появляется боль в пятке?
Чаще всего из-за воспаления подошвенной фасции (широкой связки от пятки до пальцев). Ткань перенапрягается, в ней появляются микротрещины, и при каждом шаге возникает боль.
Чаще всего появляется у женщин после 40 лет: из-за возрастных изменений тканей, уменьшения эластичности фасции и ношения неудобной обуви.
Чаще всего появляется у женщин после 40 лет: из-за возрастных изменений тканей, уменьшения эластичности фасции и ношения неудобной обуви.
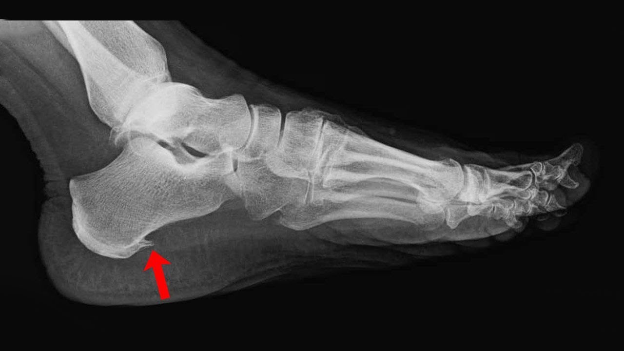
Что такое пяточная шпора (подошвенный фасциит)?
Это костный нарост на пяточной кости, который формируется на фоне хронического воспаления фасции. Но сам нарост обычно не является основной причиной боли.
Почему боль сильнее утром?
Ночью фасция сокращается. При первых шагах она резко растягивается, что вызывает острую боль.
Как понять, что это именно пяточная шпора?
Типичные признаки — острая боль в пятке при первых шагах, болезненность при надавливании на бугор пятки и усиление боли после нагрузки.
Можно ли убрать пяточную шпору без операции?
Да, можно. Нужно устранить воспаление фасции: убрать спайки, улучшить кровоток и восстановить эластичность. Это всё помогает сделать ИГЛОНОЖ.
Что делает иглонож при пяточной шпоре?
Иглонож разрушает спайки и плотные изменённые волокна фасции, улучшает кровоток и снимает хроническое воспаление. Это устраняет источник боли.
Сколько длится восстановление после иглоножа?
Обычно 3–7 дней. Лёгкая нагрузка разрешена почти сразу, полная активность — по рекомендации специалиста.
Может ли шпора пройти сама?
Редко. Воспаление может стихнуть на время, но без лечения фасция снова травмируется и боль возвращается.
Можно ли заниматься спортом при пяточной шпоре?
Интенсивные нагрузки лучше временно исключить. Допустимы плавание, велотренажёр, упражнения без ударной нагрузки.
Более подробная информация про пяточную шпору и причины её формирования в этой статье